Request an Appointment Today!
Implants Contact Form
Restore Your Smile with Permanent Dental Implants
Living Longer, Smiling Longer
People are living longer than ever, and while regular brushing, flossing, and checkups allow many of us to maintain our natural smiles for a lifetime, sometimes our teeth just can’t keep up. If you’ve lost a tooth (or a few new teeth) due to injury or disease, dental implants can rejuvenate both your smile and your oral health by aiding in replacing missing teeth.
What Are Dental Implants?
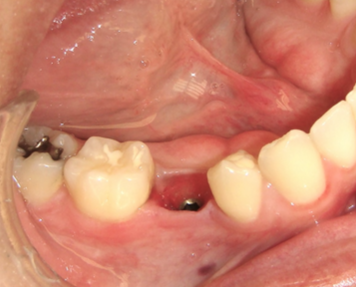
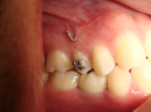
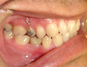
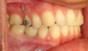
A dental implant is a synthetic tooth root, shaped like a post, that is surgically placed into the jawbone to replace missing teeth.
- The implant “root” is typically made of titanium—the same material used in many hip and knee replacements—because it bonds well with human bone.
- Once the implant is secure, a replacement tooth is attached.
- Permanent attachment – feels stable and natural, like your own tooth.
- Removable option – offers flexibility and can be taken out when needed.
Dental implants are durable, natural-looking, and reliable, making them an excellent solution for replacing missing teeth.
Who Is a Candidate?
The ideal candidate for dental implants is someone who:
- Is a non-smoker
- Has good oral health
- Possesses enough bone in the jaw to support the implant
- Has healthy gums with no signs of gum disease
Single or Multiple Dental Implants
Dental implants in Lutz, FL are versatile for tooth loss. If you are only missing one tooth, one dental implant dental work procedure plus one replacement tooth will do the trick. If you are missing several teeth in a row, a few strategically placed implants can support a permanent bridge (a set of replacement teeth). Similarly, if you have lost all of your teeth due to periodontal disease, a full bridge or full denture can be permanently fixed in your mouth with a strategic number of implants to aid your remaining new teeth. Contact us today to learn more about our dental implants cost.
Advantages Over Dentures or Bridges
Conventional bridges and dentures are not fixed to the bone, and can therefore be unstable. This can make it difficult to eat or smile with confidence. Implants not only look more natural, but feel and act more like normal teeth, with a stronger biting force. And because they don’t directly rely on neighboring teeth for support, implants don’t compromise the health of your natural teeth. In fact, bridges are only expected to last seven to ten years, even less with root canals, whereas implants will typically last a lifetime.
Post-Treatment Care
Dental implants in Lutz, FL are versatile. If you are only missing one tooth, one implant plus one replacement tooth will do the trick. If you are missing several teeth in a row, a few strategically placed implants can support a permanent bridge (a set of replacement teeth). Similarly, if you have lost all of your teeth, a full bridge or full denture can be permanently fixed in your mouth with a strategic number of implants.
Implant Services
Our implant dentistry services include:
TERSA Oral and Facial Surgery's Dr. Guerra will consult with you on the best procedure for your health, budget and time frame.








